Mendelson's syndrome
| Mendelson's syndrome | |
|---|---|
| Specialty | Pneumonology | 
Mendelson's syndrome, named in 1946 for American obstetrician and cardiologist Curtis Lester Mendelson, is a form of chemical pneumonitis or aspiration pneumonitis caused by aspiration of stomach contents (principally gastric acid) during anaesthesia in childbirth. This complication of anaesthesia led, in part, to the longstanding nil per os (abbr. NPO; a Latin phrase meaning nothing by mouth) recommendation for women in labour.[1][2]
Signs and symptoms
Mendelson's syndrome is characterised by a bronchopulmonary reaction following aspiration of gastric contents during general anaesthesia due to abolition of the laryngeal reflexes. The main clinical features are signs of general hypoxia, two to five hours after anaesthesia. Such features may include cyanosis, dyspnea, fever, pulmonary wheeze, crepitant rales, rhonchi, and tachycardia with a low blood pressure. Decreased arterial oxygen tension is also likely to be evident. Pulmonary edema can cause sudden death or death may occur later from pulmonary complications.
Risk factors
Historically it is said that a patient is at risk if they have:[3]
- Residual gastric volume of greater than 25ml, with
 - pH of less than 2.5
 
However these are indirect measurements and are not factors that directly influence aspiration risk.[3]
Patients with a high risk should have a rapid sequence induction. High risk is defined as these factors:[3]
- Non-elective surgical procedure
 - Light anaesthesia/unexpected response to stimulation
 - Acute or chronic, upper or lower GI pathology
 - Obesity
 - Opioid medication
 - Neurological disease, impaired conscious level, or sedation
 - Lithotomy position
 - Difficult intubation/airway
 - Gastrointestinal reflux
 - Hiatal hernia
 
Diagnosis

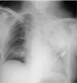
The evaluation of Mendelson syndrome is based on the following:[4]
- Clinical history
 - Radiographic film
 - Pulse oximetry
 - Computed tomography scan
 
Management
The treatment for Mendelson's syndrome is as follows:[4]
- Intubation
 - Bronchoscopy
 - Pulmonary lavage
 
Eponym
References
- ↑ Malik, Irim; Doherty, Tara (26 June 2021). "Mendelson Syndrome". National Center for Biotechnology Information, U.S. National Library of Medicine. StatPearls Publishing LLC. PMID 30969586. Archived from the original on 11 December 2022. Retrieved 21 September 2021.
 - ↑ Г.А.Рябов, СИНДРОМЫ КРИТИЧЕСКИХ СОСТОЯНИЙ. Аспирационный пневмонит (синдром Мендельсона), http://surgerycom.net/critical/4/4_3.html Archived 2020-12-13 at the Wayback Machine
 - 1 2 3 Levy, DM (2006). "Pre-operative fasting—60 years on from Mendelson". Continuing Education in Anaesthesia, Critical Care & Pain. 6 (6): 215–218. doi:10.1093/bjaceaccp/mkl048.
 - 1 2 Salik, Irim; Doherty, Tara M. (2023). "Mendelson Syndrome". StatPearls. StatPearls Publishing. Archived from the original on 19 December 2022. Retrieved 24 July 2023.
 - ↑ Enersen, OD. "Whonamedit – Mendelson's syndrome". Whonamedit? A dictionary of medical eponyms. Archived from the original on 2018-10-23. Retrieved 2011-04-22.
 - ↑ Mendelson, CL (1946). "The aspiration of stomach contents into the lungs during obstetric anesthesia". American Journal of Obstetrics and Gynecology. 52 (2): 191–205. doi:10.1016/S0002-9378(16)39829-5. PMID 20993766.
 
External links
| Classification | 
|---|