Cuboid fracture
| Cuboid fracture | |
|---|---|
![]() | |
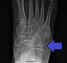
| Avulsion fracture of the right cuboid bone of the foot | |
| Frequency | Rare[1] |
A cuboid fracture is a fracture of the cuboid bone of the foot. Diagnosis is by X-ray imaging, magnetic resonance imaging, or bone scan.[1] Treatment may be conservative or involve surgery, depending on the type of fracture.[1] They are rare.[1]
If the cuboid bone is broken, then it is common for other bones in the foot to be broken or dislocated as well.[2] Cuboid fractures are associated with Lisfranc injuries.[2]

Avulsion fracture of the cuboid on CT
References
- 1 2 3 4 Angoules, Antonios G.; Angoules, Nikolaos A.; Georgoudis, Michalis; Kapetanakis, Stylianos (2019-02-18). "Update on diagnosis and management of cuboid fractures". World Journal of Orthopedics. 10 (2): 71–80. doi:10.5312/wjo.v10.i2.71. ISSN 2218-5836. PMC 6379735. PMID 30788224.
- 1 2 Walls, Ron; Hockberger, Robert; Gausche-Hill, Marianne (2017-03-09). Rosen's Emergency Medicine: Concepts and Clinical Practice. Elsevier Health Sciences. p. 650. ISBN 978-0-323-39016-3.
This article is issued from Wmcloud. The text is licensed under Creative Commons - Attribution - Sharealike. Additional terms may apply for the media files.
