Gallbladder cancer
| Gallbladder cancer | |
|---|---|
![]() | |
| Specialty | General surgery, oncology |
| Symptoms | None, abdominal pain, yellowish skin, weight loss, vomiting[1] |
| Complications | Spread to other parts of the body[2] |
| Usual onset | >65 years old[3] |
| Types | Adenocarcinoma, squamous cell carcinoma[1] |
| Causes | Often unknown[4] |
| Risk factors | Inflammation of the gallbladder, salmonella typhi, isoniazid, radon, smoking, obesity, primary sclerosing cholangitis, inflammatory bowel disease[1] |
| Diagnostic method | Blood tests, medical imaging, biopsy[2] |
| Differential diagnosis | Cholecystitis, bile duct tumors[1] |
| Treatment | Surgery, chemotherapy, radiation therapy[1] |
| Prognosis | Five-year survival rate ~19% (US)[5] |
| Frequency | 11,740 (2017 US)[1] |
| Deaths | 3,830 (2017 US)[1] |
Gallbladder cancer is a type of cancer that begins within the gallbladder.[2] Symptoms may vary from none, to right sided abdominal pain, yellowish skin, weight loss, and vomiting.[1] Complications may include spread to other organs such as the liver.[2]
The cause is often unknown.[4] Risk factors include gallstones, gallbladder polyps, and congenital biliary cysts, as these can result in inflammation of the gallbladder.[1] Other risk factors include long-term infection by salmonella typhi, isoniazid, radon, smoking, obesity, primary sclerosing cholangitis, and inflammatory bowel disease.[1] Diagnosis may be based on blood tests, medical imaging, and biopsy.[2]
Early stage disease may be curable with surgery.[1] In certain cases chemotherapy or radiation therapy may be used.[1] The overall five year survival rate in the United States is 19%, though this varies from 62% for early disease to 2% if the cancer has spread to distant parts of the body.[5]
Gallbladder cancer is a relatively uncommon, with fewer than 2 new cases per 100,000 people per year in the United States.[6] Females are more commonly affected than males.[2] Those affected are generally over the age of 65.[3] It occurs more commonly in South America, India, Pakistan, Japan, and South Korea, with rates as high as 10 per 100,000 in Chile.[1][7] It also affects certain ethnicities more frequently including Native Americans.[1] It was first described in 1777 by Maximilian de Stoll.[7]
Signs and symptoms
- Steady pain in the upper right abdomen
- Indigestion
- Dyspepsia (gas)
- Bilious vomit
- Weakness
- Loss of appetite
- Weight loss
- Jaundice and vomiting due to obstruction
Early symptoms mimic gallbladder inflammation due to gallstones. Later, the symptoms may be that of biliary and stomach obstruction.
Of note, Courvoisier's law states that in the presence of a palpably enlarged gallbladder which is nontender and accompanied with mild painless jaundice, the cause is unlikely to be gallstones. This implicates possible malignancy of the gallbladder or pancreas, and the swelling is unlikely due to gallstones due to the chronic inflammation association with gallstones leading to a shrunken, non-distensible gallbladder. However, Ludwig Georg Courvoisier's original observations, published in Germany in 1890, were not originally cited as a law, and no mention of malignancy or pain (tenderness) was made. These points are commonly misquoted or confused in the medical literature.[8]
Risk factors
- Gender— approximately twice as common in women than men, usually in seventh and eighth decades
- Obesity
- Chronic cholecystitis and cholelithiasis
- Primary sclerosing cholangitis[9]
- Chronic typhoid infection of gallbladder; chronic Salmonella typhi carriers have 3 to 200 times higher risk of gallbladder cancer than non-carriers and 1–6% lifetime risk of development of cancer[10]
- Various single nucleotide polymorphisms (SNPs) have been shown to be associated with gallbladder cancer; however, existing genetic studies in GBC susceptibility have so far been insufficient to confirm any association[11]
- Gall bladder polyps[12]
- Calcified gallbladder wall (porcelain gallbladder)[12]
- Congenital abnormalities of the bile duct such as choledochal cyst[12]
Diagnosis
Early diagnosis is not generally possible. People at high risk, such as women or Native Americans with gallstones, are evaluated closely. Transabdominal ultrasound, CT scan, endoscopic ultrasound, MRI, and MR cholangio-pancreatography (MRCP) can be used for diagnosis. A large number of gallbladder cancers are found incidentally in patients being evaluated for cholelithiasis, or gallstone formation, which is far more common.[13] A biopsy is the only certain way to tell whether or not the tumorous growth is malignant.[14]
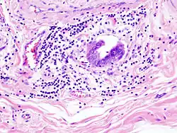
Gallbladder adenocarcinoma lymphatic invasion histopathology
Incidentally discovered gallbladder cancer (adenocarcinoma) following a cholecystectomy.
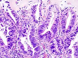
Gallbladder adenocarcinoma histopathology
Gallbladder carcinoma
Gallbladder carcinoma on ultrasound
Differential diagnosis
Xanthogranulomatous cholecystitis (XGC) is a rare form of gallbladder disease which mimics gallbladder cancer although it is not cancerous.[15][16] It was first discovered and reported in the medical literature in 1976 by J.J. McCoy, Jr., and colleagues.[15][17]
Treatment
If detected early in a stage where it has not spread, gall bladder cancer can be treated by surgery. Surgery for gallbladder cancer is called radical cholecystectomy or extended cholecystectomy. It entails the removal of gall bladder along with adequate removal of its liver bed to the healthy tissue. The lymph nodes in the vicinity are also removed. Sometimes removal of a large part of the liver called hepatectomy is required to completely remove the tumor. The bile duct if involved also needs to be removed.[12] However, with gallbladder cancer's extremely poor prognosis, most patients will die within a year of surgery. If surgery is not possible, endoscopic stenting or percutaneous transhepatic biliary drainage (PTBD) of the biliary tree can reduce jaundice and a stent in stomach may relieve vomiting. Chemotherapy and radiation may also be used with surgery. If gallbladder cancer is diagnosed after cholecystectomy for stone disease (incidental cancer), re-operation to remove part of liver and lymph nodes is required in most cases. When it is done as early as possible, patients have the best chance of long-term survival and even cure.[18]
Epidemiology

Most tumors are adenocarcinomas, with a small percent being squamous cell carcinomas.
- Gallbladder cancer is relatively rare, affecting fewer than 5000 people in the United States per year[19]
- Gallbladder cancer is more common in South American countries, Japan, and Israel; in Chile, gallbladder cancer is the fourth most common cause of cancer deaths.
- 5th most common gastrointestinal cancer
- Up to 5 times more common in women than men depending on population (e.g. 73% female in China[20]
- The age adjusted incidence rates of gall bladder cancer is highest in Chile, followed by in the state of Assam in India[21]
Prognosis
The prognosis still remains poor. The cancer commonly spreads to the liver, bile duct, stomach, and duodenum.
References
- 1 2 3 4 5 6 7 8 9 10 11 12 13 14 Recio-Boiles, A; Kashyap, S; Babiker, HM (January 2020). "Gallbladder Cancer". PMID 28723031.
{{cite journal}}: Cite journal requires|journal=(help) - 1 2 3 4 5 6 "Gallbladder Cancer Treatment (PDQ®)–Patient Version - National Cancer Institute". www.cancer.gov. 24 March 2004. Archived from the original on 25 February 2021. Retrieved 16 February 2021.
- 1 2 "Risk Factors for Gallbladder Cancer". www.cancer.org. Archived from the original on 9 February 2021. Retrieved 16 February 2021.
- 1 2 Hoppe, Richard; Phillips, Theodore L.; Roach, Mack (2010). Leibel and Phillips Textbook of Radiation Oncology - E-Book: Expert Consult. Elsevier Health Sciences. p. 829. ISBN 978-1-4377-3775-2. Archived from the original on 2021-08-28. Retrieved 2021-02-16.
- 1 2 "Gallbladder Cancer - Statistics". Cancer.Net. 25 June 2012. Archived from the original on 6 November 2020. Retrieved 16 February 2021.
- ↑ "CDC - Gallbladder Cancer Incidence and Death Rates". www.cdc.gov. 2018-09-27. Archived from the original on 2020-01-03. Retrieved 2018-12-10.
- 1 2 Barreto, Savio George; Windsor, John A. (2018). Surgical Diseases of the Pancreas and Biliary Tree. Springer. p. 392. ISBN 978-981-10-8755-4. Archived from the original on 2021-08-28. Retrieved 2021-02-16.
- ↑ Fitzgerald, J Edward F; White Matthew J; Lobo Dileep N (Apr 2009). "Courvoisier's gallbladder: law or sign?". World Journal of Surgery. United States. 33 (4): 886–91. doi:10.1007/s00268-008-9908-y. ISSN 0364-2313. PMID 19190960.
- ↑ Folseraas, T; Boberg, KM (February 2016). "Cancer Risk and Surveillance in Primary Sclerosing Cholangitis". Clinics in Liver Disease. 20 (1): 79–98. doi:10.1016/j.cld.2015.08.014. PMID 26593292.
- ↑ Ferreccio, C. (2012). "Salmonella typhi and Gallbladder Cancer". Bacteria and Cancer. pp. 117–137. doi:10.1007/978-94-007-2585-0_5. ISBN 978-94-007-2584-3.
- ↑ Srivastava K, Srivastava A, Sharma KL, Mittal B. Candidate gene studies in gallbladder cancer: a systematic review and meta-analysis. Mutat Res. 2011 Jul–Oct;728(1–2):67–79.
- 1 2 3 4 "Gallbladder Cancer: Symptoms, Causes & Treatment | Dr. Nikhil Agrawal". Dr.Nikhil Agrawal. Archived from the original on 2020-11-19. Retrieved 2020-10-11.
- ↑ Duffy, A.; Capanu, M.; Abou-Alfa, G. K.; Huitzil, D.; Jarnagin, W.; Fong, Y.; D'Angelica, M.; Dematteo, R. P.; Blumgart, L. H. (2008-12-01). "Gallbladder cancer (GBC): 10-year experience at Memorial Sloan-Kettering Cancer Centre (MSKCC)". Journal of Surgical Oncology. 98 (7): 485–489. doi:10.1002/jso.21141. ISSN 1096-9098. PMID 18802958.
- ↑ "Tests for gallbladder cancer". Cancer Research UK. Archived from the original on 10 October 2011. Retrieved 17 September 2012.
- 1 2 Makino I, Yamaguchi T, Sato N, Yasui T, Kita I (August 2009). "Xanthogranulomatous cholecystitis mimicking gallbladder carcinoma with a false-positive result on fluorodeoxyglucose PET". World J. Gastroenterol. 15 (29): 3691–3. doi:10.3748/wjg.15.3691. PMC 2721248. PMID 19653352.
- ↑ Rao RV, Kumar A, Sikora SS, Saxena R, Kapoor VK (2005). "Xanthogranulomatous cholecystitis: differentiation from associated gall bladder carcinoma". Trop Gastroenterol. 26 (1): 31–3. PMID 15974235.
- ↑ McCoy JJ, Vila R, Petrossian G, McCall RA, Reddy KS (March 1976). "Xanthogranulomatous cholecystitis. Report of two cases". J S C Med Assoc. 72 (3): 78–9. PMID 1063276.
- ↑ Kapoor VK (March 2001). "Incidental gallbladder cancer". Am. J. Gastroenterol. 96 (3): 627–9. PMID 11280526.
- ↑ Carriaga, M. T.; Henson, D. E. (1995-01-01). "Liver, gallbladder, extrahepatic bile ducts, and pancreas". Cancer. 75 (1 Suppl): 171–190. doi:10.1002/1097-0142(19950101)75:1+<171::AID-CNCR2820751306>3.0.CO;2-2. ISSN 0008-543X. PMID 8000995.
- ↑ Hsing AW, Gao YT, Han TQ, et al. (December 2007). "Gallstones and the risk of biliary tract cancer: a population-based study in China". Br. J. Cancer. 97 (11): 1577–82. doi:10.1038/sj.bjc.6604047. PMC 2360257. PMID 18000509.
- ↑ National Cancer Registry Programme (2013).Three-year report of population based cancer registries:2009-2011. NCDIR-ICMR, Bangalore.
External links
| Classification |
|---|
- U.S. National Cancer Institute Gallbladder Cancer Treatment (www.cancer.gov) Archived 2015-04-16 at the Wayback Machine
